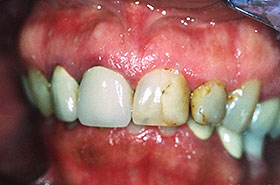
Great food, ice-cold drinks, and plenty of summer-time fun shouldn’t be spoiled by a nagging toothache, painful chewing, and other issues with your oral health.
Not only do problems with your teeth make it hard to enjoy seasonal favorites like ribs and cold margaritas by the pool, but they can pose more serious risks to your health if you try to ignore them.
So let us help!
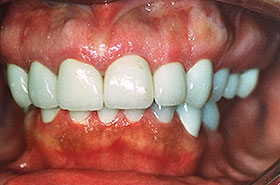
Our restorative dental treatments offer a number of pain-relieving solutions for damaged or broken teeth that stay nicely hidden so your smile still looks bright and healthy.
If you’re having problems chewing or are embarrassed by worn, damaged, or missing teeth, call Friendly Smiles Center today at 856-359-4000 or fill out our online form to schedule your appointment in Mount Laurel, NJ.
Visit Friendly Smiles Center
We can see you as soon as tomorrow!

