M. B. (Verified Patient)
Great job! Friendly, clean and informative! Dr. Chase is an excellent dentist with a great personality!
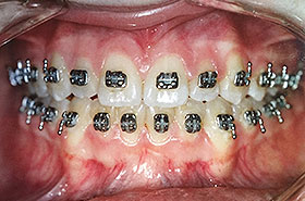
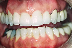
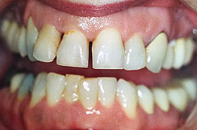
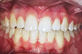
It’s no wonder why our patients rave about Dr. Chase at Friendly Smiles Center! He’s a highly skilled dentist who is passionate about restoring the health of your teeth and gums and making sure your smile looks bright and beautiful. You don’t have to just take our word for it, though. See for yourself by checking out our smile gallery in Mount Laurel, NJ.
You’ll see why patients trust their smile transformations to our team. There’s a remarkable difference in each of these before-and-after images, thanks to the technology and craftsmanship you’ll find in our practice.
To make an appointment, call 856-359-4000 now. You can also schedule online.
Great job! Friendly, clean and informative! Dr. Chase is an excellent dentist with a great personality!
I recently visited Friendly Smiles Center and I couldn’t be happier with my experience! From the moment I walked in, the staff was warm and welcoming, making me feel right at home. The office was clean and well-organized, which instantly put me at ease. Dr. Chase was incredibly professional and took the time to explain each step of the process. They answered all my questions with patience and clarity, which is something I truly appreciate. What stood out the most was the emphasis on patient comfort; I felt valued and cared for throughout my visit. They also made sure to discuss preventive care, which has motivated me to take even better care of my teeth. I highly recommend the Friendly Smiles Center to anyone looking for a dental office that prioritizes patient care and comfort. I’m looking forward to my next visit!
Excellent care and wonderful work! Warm and friendly ! Consistent positive care!
The most thorough dentist I have ever been to. My wife recommends him because she has been a dental assistant for over 20 years at another dental office. Just got a crown replaced in less than 2 hours !! Dr. Chase is excellent.
Very friendly staffs👍
Everyone was so nice. I felt at ease
I was pleasantly greeted when I walked in. I love the Hygienist who did a terrific job! Dr. Chase was wonderful and Made me feel very comfortable during my check up.
I would highly recommend Dr Chase. His work is to perfection! Dr Chase and his staff are friendly and make you feel very comfortable.
First time I didn’t have any anxiety before attending a Dentist appointment. My daughter who is a dental hygienist highly recommended this Dental office! The staff was very warm and welcoming. Dr. Chase was very knowledgeable and friendly. He took his time to explain every aspect of my exam and to answer any questions I had. The office is extremely clean and takes all sanitary precautions for your safety against the COVID-19 virus. They also have State of the Art dental equipment I was very relaxed while watching my favorite TV show while in the chair! You also get free baked cookies to take home with you! 🍪. Needless to say I was very pleased with my visits and would definitely recommend Friendly Smiles to my family and friends!😁
Great experience
I had a Great experience. Everyone was very friendly and helpful.
Best service I have ever had and always really friendly. Been a patient for over 30 years and will be their patient forever.
Friendly Smiles team is very professional with exceptional customer service. Dr. Chase was the first denist I ever had to explain the issues with my teeth and a course of options to get back on track.The office was very clean and inviting. I would recommend Friendly Smiles to everyone seeking a human approach for dental care.
So happy that I chose Friendly Smiles as my new dentist. Joanne was incredibly helpful with setting up appointments and patiently working on insurance questions with me. The entire staff was welcoming and kind, the office is wonderful and calming. Melissa and Dr. Chase were incredibly thorough in my first appointment. They explained everything clearly and took time to get to know me – I learned lots about my dental health and feel well taken care of. They also book appointments very easily. My first appointment was a week after I first called them and they promptly scheduled my next visit. Highly recommend this office, they go above and beyond.
Always a pleasant experience. Good conversation, exceptional work. Dr. Chase has our full trust and appreciation for his great talent. Thank You, Ray Hertneck
Very detailed work on cleaning, friendly atmosphere. Clearly explained what needed to be done to improve oral hygiene. Dr. Chase and staff are very friendly and knowledgeable!!
The dentist and all of the staff are very professional and caring for their clients. The equipment, office and furnishings are modern and comfortable. There are plenty of parking spaces.
We can see you as soon as tomorrow!