It doesn’t take years or a mouth full of metal to straighten teeth effectively.
With modern orthodontic solutions in Mount Laurel, this can be accomplished more quickly and discreetly than ever.
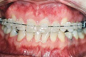
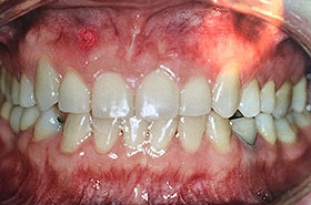
Here’s a look at a patient’s teeth before and after braces. The treatment wasn’t just a success, but it was less conspicuous than standard orthodontics, allowing the patient to wear braces more confidently.
We offer modern alternatives, including Invisalign, to improve your smile. Find out which treatment is right for you.
Call Friendly Smiles Center today at 856-359-4000 or fill out our online form to schedule your consultation.
Visit Friendly Smiles Center
We can see you as soon as tomorrow!

