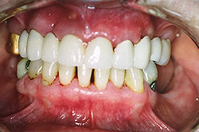
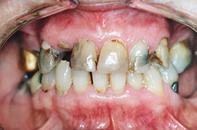
Would you like to have a strong, healthy smile this year?
That’s what this patient in today’s before and after image wanted, and our team at Friendly Smiles Center delivered!
Dr. Chase and our skilled team can give you a new smile, full of strong, healthy teeth, with quality restorative dentistry in Mount Laurel, NJ.
Get started today and call us at 856-359-4000 or fill out our online form to request an appointment.
Visit Friendly Smiles Center
We can see you as soon as tomorrow!

